X SCHLIESSEN

NAVIGATION

ARTIKLE
WARUM EIN KT-1000 ARTHROMETER KAUFEN, WENN MAN EIN GNRB BEKOMMEN KANN? Was ist die Laxheit der Kniebänder? Neues Arthrometer Sportarten die sind mit VKB Verletzungen verbindet. 11 VKB Schnelle Fakten Knielaxheitsarthrometer GNRB an mehr als 30 wissenschaftlichen Studien KT-1000/ KT-2000/ GNRB / DYNEELAX Vergleich ESSKA Preis für das beste E-Poster GNRB Arthrometer KT-1000 Arthrometer : Test die Laxheit des Knies Neue Finanzierung der Europäischen Union für das Dyneelax-Projekt GNRB KNIEARTHROMETER : MEHR ALS NUR OBJEKTIVE ERGEBNISSE ZUM VKB... AS MONACO FUSSBALLVEREIN HAT EIN DYNEELAX! DIE ZUKUNFT DER BEHANDLUNG VON VKB-RISSE : ARTHROMETER GENOUROB IST BEI REEDUCA 2019, PARIS, FRANKREICH KT-1000 VS GNRB VIDEO: PRÜFUNG DES VKB MIT BEIDEN ARTHROMETERN. NEUE GNRB STUDIE NEUE GNRB / ROTAM FORSCHUNGSSTUDIEN WO KANN ICH EIN KT-1000 KNIEBAND-ARTHROMETER BESTELLEN? VKB REHABILITATION: WIE SIND ARTHROMETERS WICHTIG, UM SICH VON EINER VKB CHIRURGIE ZU ERHOLEN? KÖRPERLICHE UNTERSUCHUNGEN DES KNIES
  • VORDERER SCHUBLADENTEST - VKB BEURTEILUNG
  • LACHMAN TEST - VKB BEURTEILUNG
  • DER PIVOT TEST SHIFT - BEURTEILUNG DER KNIEINSTABILITÄT
  • ARTHROMETER: VERBESSERUNG DER BEHANDLUNG VON KNIEVERLETZUNGEN DIAGNOSE GERÄT FÜR KNIESTABILITÄT/INSTABILITÄT TOP 5 VKB-DIAGNOSETESTS Habe ich mein VKB gerissen? VKB : VORDERES KREUZBAND
  • VERLETZUNG/RISS DES VORDEREN KREUZBANDES (VKB)
  • CHIRURGISCHE TECHNIKEN DER VKB-REKONSTRUKTION
  • BEHANDLUNG EINES GERISSENEN/ VERLETZTEN VKB
  • ERHOLUNGSZEIT BEI GERISSENEM VKB
  • ÜBER UNS
    GESCHICHTE Jetzt in mehr als 40 Ländern vertreten
  • FC Laval / Frankreich
  • Referenzen Export
  • SYDNEY ORTHOPEDIC RESEARCH INSTITUTE - AUSTRALIEN
  • KNIE
    WAS IST DIE LAXITÄT KNIELAXITÄTSTESTS - DIE LDA®-METHODE VON GENOUROB
  • VORDERE TRANSLATION INNERE/AUSSEN ROTATION
  • LACHMAN-TEST (AUTOMATISIERT)
  • HINTERER SCHUBLADENTEST (AUTOMATISIERT)
  • VORDERE SCHUBLADE TIBIA-ROTATIONSTEST (AUTOMATISIERT)
  • TIBIA-ROTATIONS-INSTABILITÄTSTEST (AUTOMATISIERT)
  • LDA-METHODE WISSENSCHAFTLICHE STUDIEN ARTHROMETER, DIE AN IHR FACHGEBIET ANGEPASST SIND
  • IN DER ORTHOPÄDIE
  • LDA im Sport
  • DIE FUNKTIONELLE REHABILITATION
  • LDA in der Radiologie
  • WIRBELSÄULE
    WIE FUNKTIONIERT DIESES GERÄT ZUR REHABILITATION DER WIRBELSÄULE? SPINEO DETAILLIERTE BESCHREIBUNG WARUM SPINEO WÄHREND DER REHABILITATION VERWENDEN
    GERÄTE
    WÄHLEN SIE IHR DYNEELAX
  • DYNEELAX
  • DYNEELAX PCL
  • WÄHLEN SIE IHR GNRB
  • VKB-Verelztung/ Riss Beurteilung
  • HKB-Verletzung/ Riss Beurteilung
  • VKB TEST - MEDIALE ROTATION
  • VKB-TEST - ANGEPASST AN DIE RÖNTGENTECHNIK
  • ZUBEHÖRE
  • LDA® UNTERSUCHUNGSLIEGE
  • LDA® TROLLEY
  • GENOUROBS KNIE-LAXITÄTS-ARTHROMETER WISSENSCHAFTLICHE STUDIEN
    VERTRIEB
    VETRIEB IN FRANKREICH EXPORTVERTRIEB
    LDA®
    Die Methode LDA®
  • TIBIA VORWÄRTS TRANSLATION
  • TRANSLATION UND INDUZIERTE ROTATION
  • KONTROLLIERTE MEDIALE UND LATERALE ROTATION
  • PUBLIKATIONEN DOKUMENTATIONEN Videos WUSSTEN SIE, DASS …..
  • 30 TAGE POSTOPERATIV – MÖGLICHKEIT EINES KONTROLL-TESTS BEI 100 N OHNE RISIKO
  • IHRE SPEZIALITÄT
    ORTHOPÄDIE SPORT FUNKTIONELLE REHABILITATION RADIOLOGIE

    KONTAKT INFORMATIONEN

    +33 2 43 90 43 01

    LDA IN DER RADIOLOGIE

    Die automatisierte dynamische Laximetrie für einen neuen Ansatz bei der Untersuchung der Bänderfunktion

    Die LDA® ermöglicht die Messung und Berechnung neuer Parameter, um die teilweise komplexen radiologischen Untersuchungen der Kniebänderfunktion zu ermöglichen. 

    Die LDA®-Test ist eine unverzichtbare Ergänzung zur medizinischen Bildgebung bei der Untersuchung des Kreuzbandes. Es ermöglicht eine dynamische Sicht für die Registrierung von Bänderwiderstandskurven.

    Das GNRB-Radio ist speziell für den rationellen Einsatz in einer radiologischen Praxis konzipiert

    Einfach und schnell in der Anwendung, bequem für den Patienten (auf dem Radiologietisch liegend), wird der LDA®-Test innerhalb weniger Minuten während der radiologischen Untersuchung durchgeführt.

    Das GNRB-Radio verfügt über eine 5-Sekunden-Sperrfunktion der Tibia-Translation in der oberen Position, die es ermöglicht, eine Röntgenaufnahme zu machen.

    Eine patentierte Messmethode

    Der Lachmann-Test ist mit dem GNRB-Radio völlig automatisiert.

    Die Fixierungsparameter von Knöchel und Schienbein werden gespeichert. Die LDA ®- Software synthetisiert und vergleicht die an beiden Knien gemessenen Werte sofort, indem sie die Steigungen der Bänderwiderstandskurven des VKB misst (Innovation Genourob).

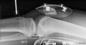
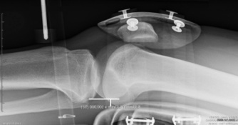
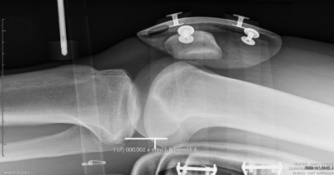
    Gezeigtes Beispiel: Präoperative Kontrolle

    Δ 134 = 6 mm, Δ P2 = 2

    Vollständige Riss

    Objektivierung eines klinischen Lachmann-Tests

    Netzwerk-Geräte

    Die GNRB-Geräte sind die einzigen automatisierten dynamischen Laximeter, bei denen die Testergebnisse in das Patientendaten-Management-System integriert werden können der radiologischen Praxis integriert werden können.

    Das Ergebnis des LDA®-Tests wird sofort ausgedruckt und mit der radiologischen Untersuchung in die Patientenakte aufgenommen. Der Export in verschiedene Formate ist möglich.

    Das Gerät GNRB Radio, entwickelt für Ihre Praxis

    Sofortige Berechnung der Verschiebung des Schienbeins

    Kurven, die den Widerstand der Bänder ausdrücken

    Sofortige Berechnung von Steigungen

    Tabelle mit registrierten Maßnahmen

    Archivierung in der Patientendatei

    Ergebnisse können als xls-Dateien exportiert werden

    Drucken im pdf.format

    Export in RIS-PACS