X SCHLIESSEN

NAVIGATION

ARTIKLE
WARUM EIN KT-1000 ARTHROMETER KAUFEN, WENN MAN EIN GNRB BEKOMMEN KANN? Was ist die Laxheit der Kniebänder? Neues Arthrometer Sportarten die sind mit VKB Verletzungen verbindet. 11 VKB Schnelle Fakten Knielaxheitsarthrometer GNRB an mehr als 30 wissenschaftlichen Studien KT-1000/ KT-2000/ GNRB / DYNEELAX Vergleich ESSKA Preis für das beste E-Poster GNRB Arthrometer KT-1000 Arthrometer : Test die Laxheit des Knies Neue Finanzierung der Europäischen Union für das Dyneelax-Projekt GNRB KNIEARTHROMETER : MEHR ALS NUR OBJEKTIVE ERGEBNISSE ZUM VKB... AS MONACO FUSSBALLVEREIN HAT EIN DYNEELAX! DIE ZUKUNFT DER BEHANDLUNG VON VKB-RISSE : ARTHROMETER GENOUROB IST BEI REEDUCA 2019, PARIS, FRANKREICH KT-1000 VS GNRB VIDEO: PRÜFUNG DES VKB MIT BEIDEN ARTHROMETERN. NEUE GNRB STUDIE NEUE GNRB / ROTAM FORSCHUNGSSTUDIEN WO KANN ICH EIN KT-1000 KNIEBAND-ARTHROMETER BESTELLEN? VKB REHABILITATION: WIE SIND ARTHROMETERS WICHTIG, UM SICH VON EINER VKB CHIRURGIE ZU ERHOLEN? KÖRPERLICHE UNTERSUCHUNGEN DES KNIES
  • VORDERER SCHUBLADENTEST - VKB BEURTEILUNG
  • LACHMAN TEST - VKB BEURTEILUNG
  • DER PIVOT TEST SHIFT - BEURTEILUNG DER KNIEINSTABILITÄT
  • ARTHROMETER: VERBESSERUNG DER BEHANDLUNG VON KNIEVERLETZUNGEN DIAGNOSE GERÄT FÜR KNIESTABILITÄT/INSTABILITÄT TOP 5 VKB-DIAGNOSETESTS Habe ich mein VKB gerissen? VKB : VORDERES KREUZBAND
  • VERLETZUNG/RISS DES VORDEREN KREUZBANDES (VKB)
  • CHIRURGISCHE TECHNIKEN DER VKB-REKONSTRUKTION
  • BEHANDLUNG EINES GERISSENEN/ VERLETZTEN VKB
  • ERHOLUNGSZEIT BEI GERISSENEM VKB
  • ÜBER UNS
    GESCHICHTE Jetzt in mehr als 40 Ländern vertreten
  • FC Laval / Frankreich
  • Referenzen Export
  • SYDNEY ORTHOPEDIC RESEARCH INSTITUTE - AUSTRALIEN
  • KNIE
    WAS IST DIE LAXITÄT KNIELAXITÄTSTESTS - DIE LDA®-METHODE VON GENOUROB
  • VORDERE TRANSLATION INNERE/AUSSEN ROTATION
  • LACHMAN-TEST (AUTOMATISIERT)
  • HINTERER SCHUBLADENTEST (AUTOMATISIERT)
  • VORDERE SCHUBLADE TIBIA-ROTATIONSTEST (AUTOMATISIERT)
  • TIBIA-ROTATIONS-INSTABILITÄTSTEST (AUTOMATISIERT)
  • LDA-METHODE WISSENSCHAFTLICHE STUDIEN ARTHROMETER, DIE AN IHR FACHGEBIET ANGEPASST SIND
  • IN DER ORTHOPÄDIE
  • LDA im Sport
  • DIE FUNKTIONELLE REHABILITATION
  • LDA in der Radiologie
  • WIRBELSÄULE
    WIE FUNKTIONIERT DIESES GERÄT ZUR REHABILITATION DER WIRBELSÄULE? SPINEO DETAILLIERTE BESCHREIBUNG WARUM SPINEO WÄHREND DER REHABILITATION VERWENDEN
    GERÄTE
    WÄHLEN SIE IHR DYNEELAX
  • DYNEELAX
  • DYNEELAX PCL
  • WÄHLEN SIE IHR GNRB
  • VKB-Verelztung/ Riss Beurteilung
  • HKB-Verletzung/ Riss Beurteilung
  • VKB TEST - MEDIALE ROTATION
  • VKB-TEST - ANGEPASST AN DIE RÖNTGENTECHNIK
  • ZUBEHÖRE
  • LDA® UNTERSUCHUNGSLIEGE
  • LDA® TROLLEY
  • GENOUROBS KNIE-LAXITÄTS-ARTHROMETER WISSENSCHAFTLICHE STUDIEN
    VERTRIEB
    VETRIEB IN FRANKREICH EXPORTVERTRIEB
    LDA®
    Die Methode LDA®
  • TIBIA VORWÄRTS TRANSLATION
  • TRANSLATION UND INDUZIERTE ROTATION
  • KONTROLLIERTE MEDIALE UND LATERALE ROTATION
  • PUBLIKATIONEN DOKUMENTATIONEN Videos WUSSTEN SIE, DASS …..
  • 30 TAGE POSTOPERATIV – MÖGLICHKEIT EINES KONTROLL-TESTS BEI 100 N OHNE RISIKO
  • IHRE SPEZIALITÄT
    ORTHOPÄDIE SPORT FUNKTIONELLE REHABILITATION RADIOLOGIE

    KONTAKT INFORMATIONEN

    +33 2 43 90 43 01

    TOP 5 VKB-DIAGNOSETESTS

    Die Feststellung, ob ihr VKB gerissen ist oder nicht, kann schwierig sein. Andere Strukturen, die das VKB umgeben, können durchaus zur Stabilität des Knies beitragen und es gesund erscheinen lassen. Daher müssen wissenschaftlich bestätigte Methoden angewendet werden, um eine gute Diagnose des VKB- Zustands zu gewährleisten. Hier ist eine Top 5 der besten verfügbaren Techniken, um eine Diagnose des VKB durchzuführen:

    5) ARTHROSKOPIE

    Die Arthroskopie (auch arthroskopische Chirurgie genannt) kann ebenfalls zur Diagnose des Zustands des VKB eingesetzt werden.

    Da es sich bei dieser Technik um ein chirurgisches Verfahren handelt, steht sie in unserem Artikel an letzter Stelle, da sie eindeutig die invasivste Technik zur Beurteilung des vorderen Kreuzbandes ist.

    Diese Untersuchung wird mit einem Arthroskop durchgeführt, das durch einen kleinen Schnitt in das Gelenk eingeführt wird, so dass das VKB direkt auf einem Computerbildschirm gesehen werden kann.

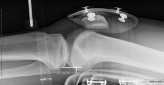
    4) RÖNTGENOGRAFIE

    Röntgenbild des Knies

    Röntgenografie ist auch eine anerkannte Technik zur Analyse des vorderen Kreuzbandes. Das TELOS ist ein berühmtes Gerät, das zur Röntgenbeurteilung von Patienten mit VKB-Verletzungen verwendet wurde, indem die Position der Tibia im Vergleich zum Femur analysiert wurde, während eine einzelne Kraft auf die Tibia ausgeübt wurde.

    Die objektiven Ergebnisse, die diese Art der Beurteilung liefert, sind interessant, aber die erforderliche Röntgentechnik macht sie sehr invasiv für den Patienten, weshalb sie auf Platz 4 liegt.

    3) KÖRPERLICHE UNTERSUCHUNG

    Diese Art von Beurteilung ist wahrscheinlich die erste Untersuchung, der Sie sich unterziehen werden, wenn Sie einen VKB-Riss vermuten. Viele verschiedene körperliche Untersuchungstests können durchgeführt werden, wie z.B. der Lachman-Test, der Pivot-Shift-Test, der vordere Schubladentest oder der Jerk-Test.

    Obwohl klinische körperliche Manöver wesentlich sind, hängen sie oft von subjektiven Faktoren wie der Erfahrung des Klinikers, der Muskelentspannung und der inhärenten Knievariabilität ab. Körperliche Diagnose ist besonders schwierig bei großen Patienten und bei Patienten mit einer akuten Verletzung und Weichteilschwellung und –abdeckung. Auch teilweise VKB-Risse sind bei der körperlichen Untersuchung recht schwierig zu beurteilen.

    Dennoch ist diese Art der Beurteilung nach wie vor notwendig, um einen ersten Hinweis auf den Zustand des vorderen Kreuzbandes zu erhalten.

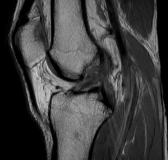
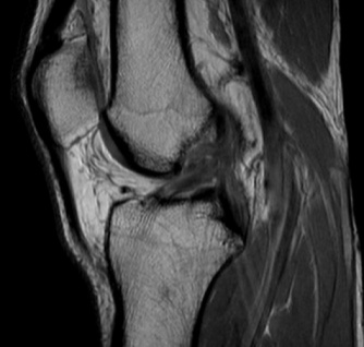
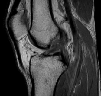
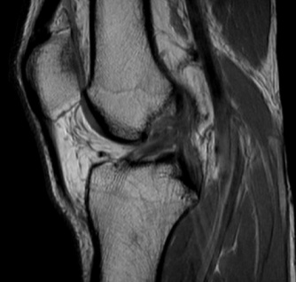
    2) MRT-Aufnahme

    Knie-MRT-Scan

    Knie-MRT-Scan

    MRT ist eine übliche Technik zur objektiven Diagnose eines VKB-Risses. An zweiter Stelle steht diese Beurteilungsmethode, da MRT-Befunde nicht hilfreich sind, um eine Knieinstabilität ein- oder auszuschließen. Das liegt vor allem daran, dass die Diagnose gestellt wird, während der Patient in einer Position verharrt, die es unmöglich macht, das Verhalten der Tibia im Vergleich zum Femur zu sehen.

    Außerdem wird nach einer VKB-Verletzung Zeit benötigt, da die im Knie vorhandene Schwellung die Diagnose des Zustands des VKB erschwert. Diese Problematik ist das Ergebnis des Blutes, das das VKB umgibt.

    Dennoch sollte beachtet werden, dass die Behandlung von VKB-Verletzungen wesentlich von der genauen Diagnose anderer umliegender Bandstrukturen des Knies abhängt, insbesondere des lateralen Kollateralbandes (LCL), des hinteren Kreuzbandes (PCL) und des Meniskus. Diese Strukturen können in der Tat mit Hilfe von MRT-Scans beurteilt werden, was diese Bewertungstechnik bei der Behandlung von Patienten mit VKB-Verletzungen immer noch sehr wertvoll macht.

    Patienten mit kombinierten LCL/VKB- oder HKB/VKB-Rissen weisen in der Tat tiefgreifende Instabilitäten auf, die ein technisch anspruchsvolleres chirurgisches Verfahren erfordern, was, wenn es nicht berücksichtigt wird, das VKB-Transplantat zu einem höheren Risiko des Kollapses prädisponiert.

    1) ARTHROMETER/ LAXIMETER

    GNRB Arthrometer

    GNRB Arthrometer

    Schließlich setzen wir Arthrometer auf Platz 1, da sie die am wenigsten invasive – und dennoch zuverlässigste Technik zu Beurteilung des VKB anwenden.  Das GNRB & DYNEELAX sind ein Beispiel für Arthrometer, die heutzutage für die VKB-Diagnose & -Behandlung verwendet sind.

    Falls Sie es nicht wussten: Ihr VKB ist wie ein Gummiband, das Ihr Körper ursprünglich erzeugt, um Ihr Knie zu stabilisieren. Nun, da wir es mit einem Gummiband verglichen haben, stellen Sie sich vor, Sie hätten eines vor sich und wollten feststellen, ob es gerissen ist oder nicht:

    • Würden Sie mit Ihren Händen daran ziehen?
    • Oder würden Sie mit einer Kamera Fotos machen und diese analysieren lassen, um einen Riss festzustellen?

    Jeder würde natürlich daran ziehen, und genau das tun Arthrometer.  Es wendet eine Translationskraft oder ein Drehmoment auf die Tibia an, um die resultierende Verschiebung  oder Rotation zu berechnen, während der Oberschenkelknochen in seiner Position festgehalten wird. Die Tests werden zuerst am gesunden Knie und dann am pathologischen Knie durchgeführt, um beide Differentiale zu vergleichen, was zu einer präzisen und objektiven Beurteilung des vorderen Kreuzbandes und anderer Bandstrukturen führt.

    • KLICKEN SIE HIER, UM WISSENSCHAFTLICHE STUDIEN ZU FINDEN, DIE DIE EFFIZIENZ DES ARTHROMETERS BEWEISEN

    Wir setzten Arthrometer / Laximeter N°1 bei der Bestimmung von VKB-Rissen ein, da die Beurteilungen durch diese Geräte automatisch erfolgen, während verschiedene Kräfte oder Drehmomente kontrolliert angewendet werden. Dies führt in der Tat zur Analyse von Kraft-Verschiebungs- oder Drehmoment-Verschiebungskurven (Compliance-Kurven), die heute die einzige verfügbare Technik zur objektiven Bewertung der Kniestabilität ist, ohne invasiv zu sein.

    Darüber hinaus machen diese Merkmale die Geräte auch nach einer VKB-Rekonstruktionschirurgie nutzbar, was wichtig ist, da jedem Patienten personalisierte Rehabilitationsprogramme angeboten werden können. Da jeder Patient einzigartig ist, ist dies ein wesentliches Merkmal, das Arthrometern zu Recht den Platz 1 in dieser Top 5 der besten Methoden zur Analyse des VKB einräumt.