X SCHLIESSEN

NAVIGATION

ARTIKLE
WARUM EIN KT-1000 ARTHROMETER KAUFEN, WENN MAN EIN GNRB BEKOMMEN KANN? Was ist die Laxheit der Kniebänder? Neues Arthrometer Sportarten die sind mit VKB Verletzungen verbindet. 11 VKB Schnelle Fakten Knielaxheitsarthrometer GNRB an mehr als 30 wissenschaftlichen Studien KT-1000/ KT-2000/ GNRB / DYNEELAX Vergleich ESSKA Preis für das beste E-Poster GNRB Arthrometer KT-1000 Arthrometer : Test die Laxheit des Knies Neue Finanzierung der Europäischen Union für das Dyneelax-Projekt GNRB KNIEARTHROMETER : MEHR ALS NUR OBJEKTIVE ERGEBNISSE ZUM VKB... AS MONACO FUSSBALLVEREIN HAT EIN DYNEELAX! DIE ZUKUNFT DER BEHANDLUNG VON VKB-RISSE : ARTHROMETER GENOUROB IST BEI REEDUCA 2019, PARIS, FRANKREICH KT-1000 VS GNRB VIDEO: PRÜFUNG DES VKB MIT BEIDEN ARTHROMETERN. NEUE GNRB STUDIE NEUE GNRB / ROTAM FORSCHUNGSSTUDIEN WO KANN ICH EIN KT-1000 KNIEBAND-ARTHROMETER BESTELLEN? VKB REHABILITATION: WIE SIND ARTHROMETERS WICHTIG, UM SICH VON EINER VKB CHIRURGIE ZU ERHOLEN? KÖRPERLICHE UNTERSUCHUNGEN DES KNIES
  • VORDERER SCHUBLADENTEST - VKB BEURTEILUNG
  • LACHMAN TEST - VKB BEURTEILUNG
  • DER PIVOT TEST SHIFT - BEURTEILUNG DER KNIEINSTABILITÄT
  • ARTHROMETER: VERBESSERUNG DER BEHANDLUNG VON KNIEVERLETZUNGEN DIAGNOSE GERÄT FÜR KNIESTABILITÄT/INSTABILITÄT TOP 5 VKB-DIAGNOSETESTS Habe ich mein VKB gerissen? VKB : VORDERES KREUZBAND
  • VERLETZUNG/RISS DES VORDEREN KREUZBANDES (VKB)
  • CHIRURGISCHE TECHNIKEN DER VKB-REKONSTRUKTION
  • BEHANDLUNG EINES GERISSENEN/ VERLETZTEN VKB
  • ERHOLUNGSZEIT BEI GERISSENEM VKB
  • ÜBER UNS
    GESCHICHTE Jetzt in mehr als 40 Ländern vertreten
  • FC Laval / Frankreich
  • Referenzen Export
  • SYDNEY ORTHOPEDIC RESEARCH INSTITUTE - AUSTRALIEN
  • KNIE
    WAS IST DIE LAXITÄT KNIELAXITÄTSTESTS - DIE LDA®-METHODE VON GENOUROB
  • VORDERE TRANSLATION INNERE/AUSSEN ROTATION
  • LACHMAN-TEST (AUTOMATISIERT)
  • HINTERER SCHUBLADENTEST (AUTOMATISIERT)
  • VORDERE SCHUBLADE TIBIA-ROTATIONSTEST (AUTOMATISIERT)
  • TIBIA-ROTATIONS-INSTABILITÄTSTEST (AUTOMATISIERT)
  • LDA-METHODE WISSENSCHAFTLICHE STUDIEN ARTHROMETER, DIE AN IHR FACHGEBIET ANGEPASST SIND
  • IN DER ORTHOPÄDIE
  • LDA im Sport
  • DIE FUNKTIONELLE REHABILITATION
  • LDA in der Radiologie
  • WIRBELSÄULE
    WIE FUNKTIONIERT DIESES GERÄT ZUR REHABILITATION DER WIRBELSÄULE? SPINEO DETAILLIERTE BESCHREIBUNG WARUM SPINEO WÄHREND DER REHABILITATION VERWENDEN
    GERÄTE
    WÄHLEN SIE IHR DYNEELAX
  • DYNEELAX
  • DYNEELAX PCL
  • WÄHLEN SIE IHR GNRB
  • VKB-Verelztung/ Riss Beurteilung
  • HKB-Verletzung/ Riss Beurteilung
  • VKB TEST - MEDIALE ROTATION
  • VKB-TEST - ANGEPASST AN DIE RÖNTGENTECHNIK
  • ZUBEHÖRE
  • LDA® UNTERSUCHUNGSLIEGE
  • LDA® TROLLEY
  • GENOUROBS KNIE-LAXITÄTS-ARTHROMETER WISSENSCHAFTLICHE STUDIEN
    VERTRIEB
    VETRIEB IN FRANKREICH EXPORTVERTRIEB
    LDA®
    Die Methode LDA®
  • TIBIA VORWÄRTS TRANSLATION
  • TRANSLATION UND INDUZIERTE ROTATION
  • KONTROLLIERTE MEDIALE UND LATERALE ROTATION
  • PUBLIKATIONEN DOKUMENTATIONEN Videos WUSSTEN SIE, DASS …..
  • 30 TAGE POSTOPERATIV – MÖGLICHKEIT EINES KONTROLL-TESTS BEI 100 N OHNE RISIKO
  • IHRE SPEZIALITÄT
    ORTHOPÄDIE SPORT FUNKTIONELLE REHABILITATION RADIOLOGIE

    KONTAKT INFORMATIONEN

    +33 2 43 90 43 01

    VKB : VORDERES KREUZBAND

    Was ist ein vorderes Kreuzband?

    Das vordere Kreuzband ist eines der vier Hauptbänder, die sich im Knie befinden. Es wird zusammen mit dem hinteren Kreuzband als Kreuzband genannt, da beide in der Mitte des Knies kreuzen und den Oberschenkelknochen (Femur) mit dem Schienbein (Tibia) verbinden.

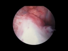
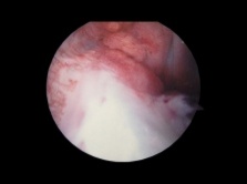
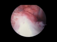
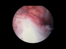
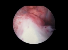
    Arthroskopieansicht des vorderen Kreuzbandes

    Arthroskopieansicht des vorderen Kreuzbandes

    Der obere Ansatz des VKB befindet sich in der Kerbe des distalen Oberschenkels, während der untere Teil des VKB vor der interkondyloiden Eminenz der Tibia ansetzt.

    Der Zweck des vorderen Kreuzbandes (VKB) ist es, das Knie stabil zu halten, genauer gesagt, der anterioren Translation und medialen Rotation des Schienbeins in Bezug auf den Oberschenkelknochen zu widerstehen.

    Im Folgenden finden Sie verschiedene Themen über das vordere Kreuzband (VKB):

    • Vorderes Kreuzband Verletzungen/Riss: Was sind die Ursachen und Symptome eines gerissenen VKB?
    • Chirurgische Techniken zur VKB-Wiederherstellung: Was sind die am häufigsten verwendeten Verfahren zur VKB-Wiederherstellung?
    • VKB-Verletzung Behandlung: Wie wird eine VKB-Verletzung/ein VKB-Riss behandelt?
    • Erholungszeit bei gerissenem VKB: Wie lange dauert es, sich von einer ACL-Verletzung zu erholen?