X SCHLIESSEN

NAVIGATION

ARTIKLE
WARUM EIN KT-1000 ARTHROMETER KAUFEN, WENN MAN EIN GNRB BEKOMMEN KANN? Was ist die Laxheit der Kniebänder? Neues Arthrometer Sportarten die sind mit VKB Verletzungen verbindet. 11 VKB Schnelle Fakten Knielaxheitsarthrometer GNRB an mehr als 30 wissenschaftlichen Studien KT-1000/ KT-2000/ GNRB / DYNEELAX Vergleich ESSKA Preis für das beste E-Poster GNRB Arthrometer KT-1000 Arthrometer : Test die Laxheit des Knies Neue Finanzierung der Europäischen Union für das Dyneelax-Projekt GNRB KNIEARTHROMETER : MEHR ALS NUR OBJEKTIVE ERGEBNISSE ZUM VKB... AS MONACO FUSSBALLVEREIN HAT EIN DYNEELAX! DIE ZUKUNFT DER BEHANDLUNG VON VKB-RISSE : ARTHROMETER GENOUROB IST BEI REEDUCA 2019, PARIS, FRANKREICH KT-1000 VS GNRB VIDEO: PRÜFUNG DES VKB MIT BEIDEN ARTHROMETERN. NEUE GNRB STUDIE NEUE GNRB / ROTAM FORSCHUNGSSTUDIEN WO KANN ICH EIN KT-1000 KNIEBAND-ARTHROMETER BESTELLEN? VKB REHABILITATION: WIE SIND ARTHROMETERS WICHTIG, UM SICH VON EINER VKB CHIRURGIE ZU ERHOLEN? KÖRPERLICHE UNTERSUCHUNGEN DES KNIES
  • VORDERER SCHUBLADENTEST - VKB BEURTEILUNG
  • LACHMAN TEST - VKB BEURTEILUNG
  • DER PIVOT TEST SHIFT - BEURTEILUNG DER KNIEINSTABILITÄT
  • ARTHROMETER: VERBESSERUNG DER BEHANDLUNG VON KNIEVERLETZUNGEN DIAGNOSE GERÄT FÜR KNIESTABILITÄT/INSTABILITÄT TOP 5 VKB-DIAGNOSETESTS Habe ich mein VKB gerissen? VKB : VORDERES KREUZBAND
  • VERLETZUNG/RISS DES VORDEREN KREUZBANDES (VKB)
  • CHIRURGISCHE TECHNIKEN DER VKB-REKONSTRUKTION
  • BEHANDLUNG EINES GERISSENEN/ VERLETZTEN VKB
  • ERHOLUNGSZEIT BEI GERISSENEM VKB
  • ÜBER UNS
    GESCHICHTE Jetzt in mehr als 40 Ländern vertreten
  • FC Laval / Frankreich
  • Referenzen Export
  • SYDNEY ORTHOPEDIC RESEARCH INSTITUTE - AUSTRALIEN
  • KNIE
    WAS IST DIE LAXITÄT KNIELAXITÄTSTESTS - DIE LDA®-METHODE VON GENOUROB
  • VORDERE TRANSLATION INNERE/AUSSEN ROTATION
  • LACHMAN-TEST (AUTOMATISIERT)
  • HINTERER SCHUBLADENTEST (AUTOMATISIERT)
  • VORDERE SCHUBLADE TIBIA-ROTATIONSTEST (AUTOMATISIERT)
  • TIBIA-ROTATIONS-INSTABILITÄTSTEST (AUTOMATISIERT)
  • LDA-METHODE WISSENSCHAFTLICHE STUDIEN ARTHROMETER, DIE AN IHR FACHGEBIET ANGEPASST SIND
  • IN DER ORTHOPÄDIE
  • LDA im Sport
  • DIE FUNKTIONELLE REHABILITATION
  • LDA in der Radiologie
  • WIRBELSÄULE
    WIE FUNKTIONIERT DIESES GERÄT ZUR REHABILITATION DER WIRBELSÄULE? SPINEO DETAILLIERTE BESCHREIBUNG WARUM SPINEO WÄHREND DER REHABILITATION VERWENDEN
    GERÄTE
    WÄHLEN SIE IHR DYNEELAX
  • DYNEELAX
  • DYNEELAX PCL
  • WÄHLEN SIE IHR GNRB
  • VKB-Verelztung/ Riss Beurteilung
  • HKB-Verletzung/ Riss Beurteilung
  • VKB TEST - MEDIALE ROTATION
  • VKB-TEST - ANGEPASST AN DIE RÖNTGENTECHNIK
  • ZUBEHÖRE
  • LDA® UNTERSUCHUNGSLIEGE
  • LDA® TROLLEY
  • GENOUROBS KNIE-LAXITÄTS-ARTHROMETER WISSENSCHAFTLICHE STUDIEN
    VERTRIEB
    VETRIEB IN FRANKREICH EXPORTVERTRIEB
    LDA®
    Die Methode LDA®
  • TIBIA VORWÄRTS TRANSLATION
  • TRANSLATION UND INDUZIERTE ROTATION
  • KONTROLLIERTE MEDIALE UND LATERALE ROTATION
  • PUBLIKATIONEN DOKUMENTATIONEN Videos WUSSTEN SIE, DASS …..
  • 30 TAGE POSTOPERATIV – MÖGLICHKEIT EINES KONTROLL-TESTS BEI 100 N OHNE RISIKO
  • IHRE SPEZIALITÄT
    ORTHOPÄDIE SPORT FUNKTIONELLE REHABILITATION RADIOLOGIE

    KONTAKT INFORMATIONEN

    +33 2 43 90 43 01

    RADIOLOGIE

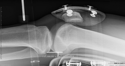
    Die automatisierte dynamische Laximetrie für einen neuen Ansatz in der Untersuchung der Funktion der Bänder

    Die LDA® erlaubt die Messung und Berechnung neuer Werte um eine hochkomplexe radiologische Untersuchung der Funktion der Kniebänder zu ermöglichen.

    Der LDA® Test ist eine unverzichtbare Ergänzung der medizinischen Bildgebung in der Untersuchung des VKB's. Er erlaubt eine dynamische Vorstellung durch die Erfassung der Widerstandskurven der Bänder.

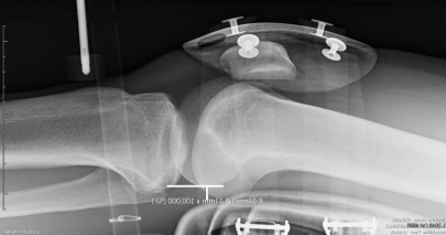
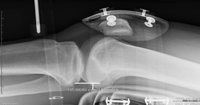
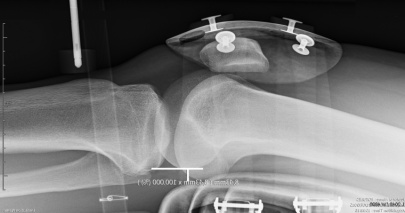
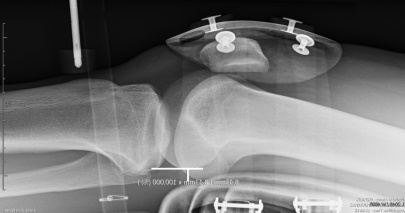
    Das GNRB Radio ist speziell gestaltet für einen rationellen Einsatz in der Radiologischen Praxis

    Der LDA © Test ist einfach, schnell und komfortabel für den Patienten (liegend auf der Radiologie Tisch). Er ist innerhalb von Minuten während der radiologischen Untersuchung durchführbar.
    Das GNRB Radio besitzt eine 5 sekündige Sperrfunktion für die Translation in der oberen Position, um Röntgenbilder zu erfassen.



    Eine patentierte Messmethode

    Der Lachmann Test ist mit dem GNRB Radio vollständig automatisiert

    Die Werte der Fixation von Knöchel und Oberschenkel werden gespeichert. Die LDA® Software synthetisiert und vergleicht sofort die an beiden Knien vorgenommenen Messungen, durch die Vermessung der Steigungen der Widerstands-Kurven der VKBs (Innovation Genourob)

    Gezeigtes Beispiel : Präoperative Kontrolle
    Δ 134 = 6 mm, Δ P2 = 2
    Komplette Ruptur

    Objektivierung eines klinischen Lachmann-Tests

    Netzwerk Geräte

    Die GNRBs sind die einzigen automatischen dynamischen Laximeter, bei denen die Testresultate in das Patientenverwaltungssystem der Radiologischen Praxis integriert werden können.

    Das Resultat des LDA© Tests wird sofort ausgedruckt und verknüpft sich mit der radiologischen Untersuchung im Datensatz des Patienten. Ein Export der Daten in unterschiedlichen Formaten ist möglich.

    Das Gerät GNRB Radio, entworfen für ihre Einrichtung

    Sofortig Berechnung der Tibia Verschiebung
    Kurvendarstellung des Bandwiderstandes
    Sofortige Berechnung der Kurvensteigung
    Tabelle mit registrierten Messwerten
    Archivierung in der Patientenakte
    Export der Resultate als xls-Datei
    Druck in pdf-Format
    Export in RIS – PACS