X FERMER

NAVIGATION

NEWS
Notre actualité
  • Chirurgie orthopédique et traumatologie du sport de Paris - France
  • Dr. Ramon Cugat à Barcelone - Espagne
  • Etudes et publications scientifiques GNRB
    ACTUALITES
    Ce projet a reçu, de l'Union Européenne, une subvention du programme d'aide de recherche et d'innovation Horizon 2020
    A PROPOS DE NOUS
    Historique Team Genourob Plus d'une centaine de Centres équipés en France...
  • Stade Lavallois Mayenne FC - Laval, France
  • Ramon Cugat à Barcelone - Espagne
  • Chirurgie orthopédique et traumatologie du sport - Paris, France
  • Département de radiologie de l’Espace Artois Santé d’Arras - Arras, France
  • Dr B. Rousseau: Médecin MPR et médecin du sport - Nantes
  • Clinique de la juventus de Turin - Italie
  • Département de Radiologie à la clinique Ambroise Paré - Toulouse, France
  • Espace Santé Cassis - Cassis, France
  • RACHIS
    Le SPINEO - A quoi ça sert? Le SPINEO - Comment ça marche? ACTIBACK - Pourquoi l'utiliser ? SPINEO - Rééducation automatisée du rachis (appareil breveté) Le SPINEO - Description détaillée
    GENOU
    Analyse des ligaments du genou - Les méthodes LDA®
  • Translation tibiale antérieure
  • Translation et rotation induite
  • Rotation médiale et latérale contrôlée
  • Publications Documentations Vidéos Saviez-vous que ...
  • Dès 30 jours post-opération, un test de contrôle peut être effectué sans risque à 100 N.
  • PRODUITS
    Les produits Genourob CHOISISSEZ VOTRE GNRB
  • GNRB LCP
  • Diagnostiquer le LCA
  • Diagnostiquer le LCP
  • GNRB Rotab
  • GNRB Radio
  • ROTAM Accessoires
  • Table de LDA®
  • Guéridon / Trolley
  • CHOISISSEZ VOTRE DYNEELAX
  • DYNEELAX
  • DYNEELAX PCL
  • Etudes et publications scientifiques
    VOTRE SPÉCIALITÉ
    Orthopédie Sport Rééducation fonctionnelle Radiologie
    VENTES
    Ventes en France Ventes à l'international
    ASSISTANCE
    Guides PDF

    COORDONN�ES

    02 43 90 43 01

    RADIOLOGIE

    La Laximétrie Dynamique Automatisée, pour une approche nouvelle de l´examen de la fonction ligamentaire

    La LDA® permet la mesure et le calcul de nouveaux paramètres pour faciliter un examen radiologique parfois difficile de la fonction ligamentaire du genou.

    Le test de LDA® est le complément indispensable de l’imagerie médicale lors de l’exploration du LCA.
    Il permet une vision dynamique par l’enregistrement des courbes de résistance ligamentaire.

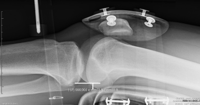
    Le GNRB Radio est spécialement conçu pour un usage rationnel en Cabinet de Radiologie.

    Simple et rapide à utiliser, confortable pour le patient (allongé sur la table de radiographie), le test de LDA® s’effectue en quelques minutes pendant l’examen radiologique.
    Le GNRB Radio dispose d’une fonction de blocage de 5 secondes en position haute du tiroir tibial, qui permet la prise d’un cliché radiographique.

    Une méthode de mesure brevetée

    Le test de Lachman est entièrement automatisé par le GNRB Radio.

    Les paramètres de fixation de la cheville et du fémur sont sauvegardés. Le logiciel spécifique de LDA® synthétise et compare immédiatement les mesures effectuées sur les 2 genoux en mesurant les valeurs de pentes des courbes de résistance ligamentaire du LCA (innovation Genourob).

    Exemple donné: Contrôle préopératoire
    Δ 134 = 6 mm, Δ P2 = 2
    Rupture totale
    Objectivation d’un test clinique de Lachman

    Des appareils en réseau

    Les GNRB sont les seuls laximètres dynamiques automatisés dont les résultats des tests peuvent être intégrés au système de gestion des patients du cabinet de Radiologie.
    Le résultat du test de LDA® s’imprime immédiatement et est joint à l’examen radiographique dans le dossier du patient. Il peut être transmis en différents formats.

    L´appareil GNRB Radio conçu pour votre Cabinet

    Calcul instantané du déplacement tibial
    Courbes de résistance ligamentaire
    Calcul instantané des pentes
    Tableau des mesures enregistrées
    Archivage dans la fiche patient
    Résultats exportables en fichier xls
    Impression au format pdf
    Export RIS - PACS