X CLOSE

NAVIGATION

NEWS
Studies Genourob's Knee laxity arthrometers Anterior cruciate ligament (ACL) injury/tear ACL: Anterior cruciate ligament
  • Torn /injured ACL treatment
  • Torn ACL recovery time
  • ACL Reconstruction Surgery Techniques
  • Why buy a KT 1000 arthrometer when you can get a Dyneelax or GNRB? Did I tear my ACL? TOP 6 ACL diagnostic tests KT-1000 / KT-2000 / GNRB comparison Sports related to ACL Injuries 11 ACL fast facts Arthrometers: Enhance knee injury treatment Knee Stability/Instability Diagnostic Device Knee physical exams
  • Pivot Shift Test - Knee Instability Evaluation
  • Lachman Test - ACL assessment
  • Anterior Drawer Test - ACL assessment
  • ACL Rehab: How are arthrometers crucial to recover from ACL Surgery? New arthrometer NEW GNRB / ROTAM Research Studies GNRB Knee Arthrometer: More than just objective results on the ACL... The Future of Treating ACL Tears: Arthrometers Where can I order a KT1000 knee ligament arthrometer? KT-1000 vs. GNRB video: Testing the ACL with both arthrometers NEW GNRB STUDY KT1000 Arthrometer : Test Knee Laxity ESSKA BEST E-POSTER AWARD - GNRB ARTHROMETER Back pain and its associated problems Knee Laxity Arthrometer GNRB involved in more than 30 scientific studies What is Knee Ligamentous Laxity? Back Pain Rehabilitation - Spineo Patient Feedback New Funding from the European Union for the DYNEELAX Project AS MONACO football club has a DYNEELAX ! What are the benefits of using knee laxity arthrometers? What is Dyneelax? Knee Ligament Analysis: ACL, PCL, LCL, MCL Assessment Device What is Knee Laxity? Study - Arthrometers better than MRI when diagnosing partial ACL tears Mastering Knee Examination: The Role of Arthrometers in Diagnosing Ligament Injuries Demystifying Anterior Cruciate Ligament (ACL) Injuries: Causes, Symptoms, and Treatment Revolutionizing Knee Assessment: The Dyneelax Knee Laxity Arthrometer Unraveling Knee Laxity: The Crucial Role of Arthrometers in Diagnosis and Treatment Mastering the Lachman Test: Detecting ACL Tears Unmasking Partial ACL Tears: The Edge of Dyneelax & GNRB Arthrometers Over MRI The Anterior Cruciate Ligament (ACL): A Brief Overview New Website ! Visit Arthrometer.com
    ABOUT US
    Now present in more than 30 countries...
  • Chirurgie orthopedique et traumatologie du sport in Paris - France
  • Dr Ramon Cugat in Barcelona - Spain
  • Pr. Yves Tucoulou in Lanzhou - China
  • Pr. Laimonas Siupsinskas in Kaunas - Lithuania
  • Gwangju Veterans Hospital in Gwangju - South Korea
  • Sydney Orthopedic Research Institute - Australia
  • DYNEELAX is present at the AS MONACO football club!
  • Visit the SPOMED clinic in the Netherlands to perform a functional analysis of the knee
  • Genourob Certifications How we started... Why do we develop knee laxity arthrometers to analyse ACL tears at Genourob?
    KNEE
    What is Laximetry? Knee laxity tests - Genourob's LDA® Method
  • Lachman test (automated)
  • Posterior drawer test (automated)
  • Anterior drawer / Tibial rotation test (automated)
  • Tibial rotation instability test (automated)
  • Anterior Translation + Internal/ External Rotation
  • LDA Method Scientific Studies Arthrometers adapted to your speciality
  • Orthopedics
  • Sport
  • Radiology
  • Functional Rehabilitation
  • SPINE
    SPINEO - Rehabilitation of the spine (Patented device) What is SPINEO? SPINEO Detailed Description Why use SPINEO during rehabilitation ? How does this spine rehabilitation device work?
    PRODUCTS
    Accessories
  • LDA® Couch
  • LDA® Trolley
  • CHOOSE YOUR GNRB
  • ACL injury/tear assessment
  • ACL test - Medial rotation
  • PCL injury/tear assessment
  • ACL test - Adapted to x-ray technology
  • Scientific Studies Genourob's Medical Products CHOOSE YOUR DYNEELAX
  • DYNEELAX
  • DYNEELAX PCL
  • SALES
    International Sales
  • Export Sales Manager
  • Distributors in Asia
  • Distributors in the Middle-East
  • CONTACT US
    CONTACT US
    SUPPORT
    Welcome to Genourob Support GNRB FAQ ROTAM FAQ

    CONTACT

    +33 2 43 90 43 01

    UNMASKING PARTIAL ACL TEARS: THE EDGE OF DYNEELAX & GNRB ARTHROMETERS OVER MRI

    The Anterior Cruciate Ligament (ACL) serves as a critical stabilizer of the knee joint. Injuries to the ACL range from mild sprains to complete ruptures, and determining the extent of such injuries is essential for proper management and rehabilitation. However, detecting partial ACL ruptures using Magnetic Resonance Imaging (MRI) can present challenges.

    The Complexity of Partial ACL Ruptures in MRI

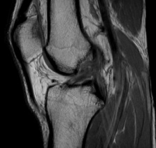
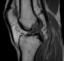
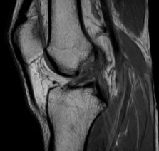
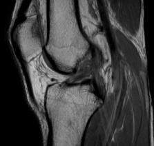
    MRI Scan of a Knee

    MRI Scan of a Knee

    MRI has long been heralded as a reliable, non-invasive imaging modality for assessing soft tissue injuries. In many instances, it effectively elucidates complete ACL tears, characterizing the disruption of fiber continuity and associated findings like bone bruising. Yet, when it comes to partial ACL ruptures, the MRI narrative becomes more intricate.

    Partial ruptures involve a portion of the ACL fibers being torn while others remain intact. Given the intricacies of ligamentous fibers and the variations in their alignment, MRI may not always capture these nuanced tears. The following factors contribute to this diagnostic challenge:

    1. Signal Variability: The MRI signal can vary based on the patient's position, type of injury, and time since injury. In cases of partial ACL ruptures, the presence of intact fibers might overshadow the torn portion, leading to a potential underestimation of the injury's severity.
    2. Tissue Edema: Swelling and fluid accumulation in and around the ACL can mask the true extent of fiber disruption, making differentiation between a partial tear and other knee pathologies challenging.

    Enter Knee Laxity Arthrometers

    In light of the limitations associated with MRI, the medical community has sought additional diagnostic tools. Knee laxity arthrometers, like the Dyneelax or GNRB, have emerged as pivotal in assessing ACL integrity (read downloadable study of Théo Cojean - 2023 below).

    These devices measure the degree of anterior tibial translation relative to the femur, thus quantifying knee laxity. The advantages of using knee laxity arthrometers include:

    • Enhanced Sensitivity: Dyneelax and GNRB have shown a heightened ability to detect partial ACL ruptures, often surpassing MRI's sensitivity in this regard. By directly quantifying functional laxity, these arthrometers can identify subtle shifts in ACL integrity.
    • Objectivity: Arthrometers provide a quantitative assessment of knee laxity, which contrasts with the sometimes subjective nature of MRI interpretations.
    • Cost-Effective: Arthrometric testing is considerably cheaper than MRI, making it a more accessible diagnostic tool for a broader range of patients.
    • Immediate Results: While MRI requires interpretation, arthrometers deliver instant feedback during a clinical exam.
    • User-Friendliness: With minimal training, clinicians can use arthrometers effectively, ensuring consistent and reliable results.
    • Price: Arthrometers, being less technologically complex than MRI machines, are often available at a fraction of the cost, making them a favorable option for many clinics and hospitals.
    • Making Space in MRI Rooms: In France, studies have found that MRI is often over prescribed. Using knee arthrometers as first instance when suspecting a knee ligament injury makes space for patients who suffers other pathologies and who are in dire need of an MRI Scan.

    Dyneelax - Rotation and Translation Arthrometer - Functional assessment

    Final words...

    While MRI remains a powerful diagnostic tool for many musculoskeletal injuries, its sensitivity in detecting partial ACL ruptures can be suboptimal. Knee laxity arthrometers such as the Dyneelax or GNRB, with their objective measurements and sensitivity to subtle ACL changes, offer a promising complementary or even alternative diagnostic approach. As medical technology continues to evolve, integrating various tools and methods will be pivotal in ensuring accurate diagnoses and optimal patient outcomes.