X CLOSE

NAVIGATION

NEWS
Studies Genourob's Knee laxity arthrometers Anterior cruciate ligament (ACL) injury/tear ACL: Anterior cruciate ligament
  • Torn /injured ACL treatment
  • Torn ACL recovery time
  • ACL Reconstruction Surgery Techniques
  • Why buy a KT 1000 arthrometer when you can get a Dyneelax or GNRB? Did I tear my ACL? TOP 6 ACL diagnostic tests KT-1000 / KT-2000 / GNRB comparison Sports related to ACL Injuries 11 ACL fast facts Arthrometers: Enhance knee injury treatment Knee Stability/Instability Diagnostic Device Knee physical exams
  • Pivot Shift Test - Knee Instability Evaluation
  • Lachman Test - ACL assessment
  • Anterior Drawer Test - ACL assessment
  • ACL Rehab: How are arthrometers crucial to recover from ACL Surgery? New arthrometer NEW GNRB / ROTAM Research Studies GNRB Knee Arthrometer: More than just objective results on the ACL... The Future of Treating ACL Tears: Arthrometers Where can I order a KT1000 knee ligament arthrometer? KT-1000 vs. GNRB video: Testing the ACL with both arthrometers NEW GNRB STUDY KT1000 Arthrometer : Test Knee Laxity ESSKA BEST E-POSTER AWARD - GNRB ARTHROMETER Back pain and its associated problems Knee Laxity Arthrometer GNRB involved in more than 30 scientific studies What is Knee Ligamentous Laxity? Back Pain Rehabilitation - Spineo Patient Feedback New Funding from the European Union for the DYNEELAX Project AS MONACO football club has a DYNEELAX ! What are the benefits of using knee laxity arthrometers? What is Dyneelax? Knee Ligament Analysis: ACL, PCL, LCL, MCL Assessment Device What is Knee Laxity? Study - Arthrometers better than MRI when diagnosing partial ACL tears Mastering Knee Examination: The Role of Arthrometers in Diagnosing Ligament Injuries Demystifying Anterior Cruciate Ligament (ACL) Injuries: Causes, Symptoms, and Treatment Revolutionizing Knee Assessment: The Dyneelax Knee Laxity Arthrometer Unraveling Knee Laxity: The Crucial Role of Arthrometers in Diagnosis and Treatment Mastering the Lachman Test: Detecting ACL Tears Unmasking Partial ACL Tears: The Edge of Dyneelax & GNRB Arthrometers Over MRI The Anterior Cruciate Ligament (ACL): A Brief Overview New Website ! Visit Arthrometer.com
    ABOUT US
    Now present in more than 30 countries...
  • Chirurgie orthopedique et traumatologie du sport in Paris - France
  • Dr Ramon Cugat in Barcelona - Spain
  • Pr. Yves Tucoulou in Lanzhou - China
  • Pr. Laimonas Siupsinskas in Kaunas - Lithuania
  • Gwangju Veterans Hospital in Gwangju - South Korea
  • Sydney Orthopedic Research Institute - Australia
  • DYNEELAX is present at the AS MONACO football club!
  • Visit the SPOMED clinic in the Netherlands to perform a functional analysis of the knee
  • Genourob Certifications How we started... Why do we develop knee laxity arthrometers to analyse ACL tears at Genourob?
    KNEE
    What is Laximetry? Knee laxity tests - Genourob's LDA® Method
  • Lachman test (automated)
  • Posterior drawer test (automated)
  • Anterior drawer / Tibial rotation test (automated)
  • Tibial rotation instability test (automated)
  • Anterior Translation + Internal/ External Rotation
  • LDA Method Scientific Studies Arthrometers adapted to your speciality
  • Orthopedics
  • Sport
  • Radiology
  • Functional Rehabilitation
  • SPINE
    SPINEO - Rehabilitation of the spine (Patented device) What is SPINEO? SPINEO Detailed Description Why use SPINEO during rehabilitation ? How does this spine rehabilitation device work?
    PRODUCTS
    Accessories
  • LDA® Couch
  • LDA® Trolley
  • CHOOSE YOUR GNRB
  • ACL injury/tear assessment
  • ACL test - Medial rotation
  • PCL injury/tear assessment
  • ACL test - Adapted to x-ray technology
  • Scientific Studies Genourob's Medical Products CHOOSE YOUR DYNEELAX
  • DYNEELAX
  • DYNEELAX PCL
  • SALES
    International Sales
  • Export Sales Manager
  • Distributors in Asia
  • Distributors in the Middle-East
  • CONTACT US
    CONTACT US
    SUPPORT
    Welcome to Genourob Support GNRB FAQ ROTAM FAQ

    CONTACT

    +33 2 43 90 43 01

    TOP 6 ACL DIAGNOSTIC TESTS

    Determining whether your ACL is torn or not can be hard. Other structures surrounding the ACL can indeed contribute to the knee's stability and make it seem healthy. Scientifically confirmed methods therefore need to be applied in order to ensure a good diagnosis of the ACL's state.  Here is a top 5 of the best techniques available to run a diagnosis on the ACL:

    TOP 6 ACL Diagnosis Methods

    6) ARTHROSCOPY

    Arthroscopy (also called arthroscopic surgery) can also be used to diagnose the state of the ACL.

    This technique being a surgical procedure, it holds the last position in our article, as it is by far the most invasive technique to assess the anterior cruciate ligament.

    This examination is performed using an arthroscope that is inserted into the joint through a small incision so that the ACL can be directly seen on a computer screen.

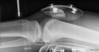
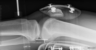
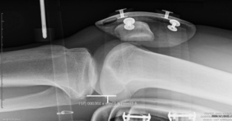
    5) RADIOGRAPHY

    Knee radiography picture

    Knee radiography picture

    Radiography is also a recognized technique for analyzing the anterior cruciate ligament. The TELOS is a famous device, which was used to run radiography assessment on patients suffering from ACL injuries by analyzing the position of the tibia compared to the femur while applying a single force on the tibia.

    The objective results provided by this type of evaluation are interesting but the radiography technology, which is required, makes it very invasive for the patient thus the reason it holds the 4th position.

    4) MANUAL ARTHROMETERS / LAXIMETERS

    Manual Arthrometers such as the KT1000/KT2000 are interesting but lack reproducibility and precision when it comes to analysing complete and partial ACL tears.

    The way the arthrometer is placed on the leg indeed greatly determines the end result. Motorised arthrometers have indeed corrected this by adding sensors to analyse the ACL.

    3) PHYSICAL EXAMINATION

    This type of assessment is probably the first evaluation you will undergo if you suspect an ACL tear. Many different physical examination tests may be done such as the Lachman test, the pivot shift test, the anterior drawer test or the jerk test.

    While clinical physical manoeuvre are essential, they often rely on subjective factors such as clinician experience, muscle relaxation, and inherent knee variability. Physical diagnosis is particularly difficult in large patients and in patients with an acute injury and soft-tissue swelling and guarding. Partial ACL tears are also quite difficult to assess during physical examination.

    However, this type of assessment still remains necessary to have a first clue on the state of the anterior cruciate ligament.

    2) MRI Scans

    Knee MRI scan

    Knee MRI scan

    MRI is a common technique for objectively diagnosing an ACL tear. Second place has been given to this assessment technique because MRI findings are not helpful in ruling in or ruling out knee instability. This is primarily due to the fact that diagnosis is made while the patient remains in a single position making it impossible to see the tibia's behaviour compared to the femur. 

    In addition, time is also needed after an ACL injury as the swelling present in the knee makes it difficult to diagnose the state of the ACL. This problematic is the result of the blood surrounding the ACL.

    However, it should still be noted that ACL injury management is critically dependent on accurate diagnosis of other surrounding ligamentous structures of the knee, in particular the lateral collateral ligament (LCL), the posterior cruciate ligament (PCL) and the meniscus. These structures can indeed be assessed using MRI scans, which still makes this technique of evaluation highly worthy of application in the management of patients suffering form ACL injuries.

    Patients with combined LCL/ACL or PCL/ACL tears indeed show profound instabilities requiring a more technical surgical procedure, which, if not taken into consideration predisposes the ACL graft to higher chances of collapsing.

    1) MOTORISED ARTHROMETERS / LAXIMETERS

    Finally, we placed arthrometers at N°1 as they apply the less invasive and yet most reliable technique to assess the ACL. The GNRB & DYNEELAX are an example of arthrometers used nowadays for ACL diagnosis & treatement.

    In case you didn't know, your ACL is like an elastic which your body initially generates to stabilize your knee. Now, since we compared it to an elastic, imagine you had one in front of you and you wanted to determine whether it is torn or not:

    • would you pull on it using your hands?
    • or would you use a camera to take pictures and get them analyzed to determine a tear?

    Anyone would of course pull on it, and this is exactly what arthrometers do. It applies a translation force or a torque on the tibia to calculate the resulting displacement or rotation while maintaining the femur bone locked in position. The tests are first done on the healthy knee and then on the pathological knee in order to compare both differentials, which lead to a precise and objective assessment of the anterior cruciate ligament and other ligamentous structures.

    We placed arthrometers / laximeters N°1 at determining ACL tears because the assessments performed by these devices are automatically done while applying different forces or torques in a controlled manner. This indeed leads to the analysis of force/displacement or torque/displacement curves (compliance curves), which is the only technique available today for objectively evaluating knee stability without being invasive.

    In addition, these features make these devices usable after ACL reconstruction surgery, which is essential as personalized rehabilitation programs can be delivered to each patient. With every patient being unique, this is a major characteristic letting arthrometers well deserve their N°1 position on this top 5 of best ways to analyze the ACL.