X CLOSE

NAVIGATION

NEWS
Studies Genourob's Knee laxity arthrometers Anterior cruciate ligament (ACL) injury/tear ACL: Anterior cruciate ligament
  • Torn /injured ACL treatment
  • Torn ACL recovery time
  • ACL Reconstruction Surgery Techniques
  • Why buy a KT 1000 arthrometer when you can get a Dyneelax or GNRB? Did I tear my ACL? TOP 6 ACL diagnostic tests KT-1000 / KT-2000 / GNRB comparison Sports related to ACL Injuries 11 ACL fast facts Arthrometers: Enhance knee injury treatment Knee Stability/Instability Diagnostic Device Knee physical exams
  • Pivot Shift Test - Knee Instability Evaluation
  • Lachman Test - ACL assessment
  • Anterior Drawer Test - ACL assessment
  • ACL Rehab: How are arthrometers crucial to recover from ACL Surgery? New arthrometer NEW GNRB / ROTAM Research Studies GNRB Knee Arthrometer: More than just objective results on the ACL... The Future of Treating ACL Tears: Arthrometers Where can I order a KT1000 knee ligament arthrometer? KT-1000 vs. GNRB video: Testing the ACL with both arthrometers NEW GNRB STUDY KT1000 Arthrometer : Test Knee Laxity ESSKA BEST E-POSTER AWARD - GNRB ARTHROMETER Back pain and its associated problems Knee Laxity Arthrometer GNRB involved in more than 30 scientific studies What is Knee Ligamentous Laxity? Back Pain Rehabilitation - Spineo Patient Feedback New Funding from the European Union for the DYNEELAX Project AS MONACO football club has a DYNEELAX ! What are the benefits of using knee laxity arthrometers? What is Dyneelax? Knee Ligament Analysis: ACL, PCL, LCL, MCL Assessment Device What is Knee Laxity? Study - Arthrometers better than MRI when diagnosing partial ACL tears Mastering Knee Examination: The Role of Arthrometers in Diagnosing Ligament Injuries Demystifying Anterior Cruciate Ligament (ACL) Injuries: Causes, Symptoms, and Treatment Revolutionizing Knee Assessment: The Dyneelax Knee Laxity Arthrometer Unraveling Knee Laxity: The Crucial Role of Arthrometers in Diagnosis and Treatment Mastering the Lachman Test: Detecting ACL Tears Unmasking Partial ACL Tears: The Edge of Dyneelax & GNRB Arthrometers Over MRI The Anterior Cruciate Ligament (ACL): A Brief Overview New Website ! Visit Arthrometer.com
    ABOUT US
    Now present in more than 30 countries...
  • Chirurgie orthopedique et traumatologie du sport in Paris - France
  • Dr Ramon Cugat in Barcelona - Spain
  • Pr. Yves Tucoulou in Lanzhou - China
  • Pr. Laimonas Siupsinskas in Kaunas - Lithuania
  • Gwangju Veterans Hospital in Gwangju - South Korea
  • Sydney Orthopedic Research Institute - Australia
  • DYNEELAX is present at the AS MONACO football club!
  • Visit the SPOMED clinic in the Netherlands to perform a functional analysis of the knee
  • Genourob Certifications How we started... Why do we develop knee laxity arthrometers to analyse ACL tears at Genourob?
    KNEE
    What is Laximetry? Knee laxity tests - Genourob's LDA® Method
  • Lachman test (automated)
  • Posterior drawer test (automated)
  • Anterior drawer / Tibial rotation test (automated)
  • Tibial rotation instability test (automated)
  • Anterior Translation + Internal/ External Rotation
  • LDA Method Scientific Studies Arthrometers adapted to your speciality
  • Orthopedics
  • Sport
  • Radiology
  • Functional Rehabilitation
  • SPINE
    SPINEO - Rehabilitation of the spine (Patented device) What is SPINEO? SPINEO Detailed Description Why use SPINEO during rehabilitation ? How does this spine rehabilitation device work?
    PRODUCTS
    Accessories
  • LDA® Couch
  • LDA® Trolley
  • CHOOSE YOUR GNRB
  • ACL injury/tear assessment
  • ACL test - Medial rotation
  • PCL injury/tear assessment
  • ACL test - Adapted to x-ray technology
  • Scientific Studies Genourob's Medical Products CHOOSE YOUR DYNEELAX
  • DYNEELAX
  • DYNEELAX PCL
  • SALES
    International Sales
  • Export Sales Manager
  • Distributors in Europe
  • Distributors in Asia
  • Distributors in the Middle-East
  • CONTACT US
    CONTACT US
    SUPPORT
    Welcome to Genourob Support GNRB FAQ ROTAM FAQ

    CONTACT

    +33 2 43 90 43 01

    RADIOLOGY

    The automated dynamic laximetry for a new approach in the examination of the ligament function

    The LDA® allows measurement and calculation of new parameters to enable sometimes complex radiological examinations of the knee ligament function.

    The LDA® test is an indispensable complement to medical imaging in the exploration of the ACL. It allows a dynamic vision for the registration of ligament resistance curves.

    The GNRB Radio is specially designed for a rational use in a radiology practice

    Simple and fast to use, comfortable for the patient (laying on the radiology table), the LDA® test is performed within minutes during the radiological examination.

    The GNRB Radio features a 5 seconds lock function of the tibial translation, in the up position, allowing to operate an XRay image.



    A patented method of measurement

    The Lachmann’s test is fully automated with the GNRB Radio.

    The fixation parameters of ankle and tibia are saved. The LDA® software synthesis and compares the measures taken at both knees immediately by measuring the slopes of the ligament resistance curves of the ACL (Innovation Genourob)

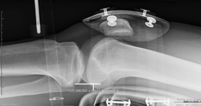
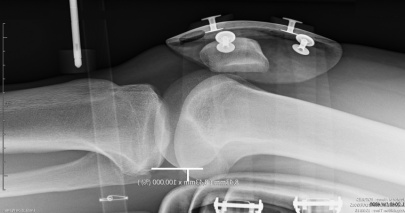
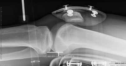
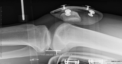
    Shown example: Preoperative control
    Δ 134 = 6 mm, Δ P2 = 2
    Complete Rupture
    Objectification of a clinical Lachmann-test

    Network-Devices

    The GNRBs are the only automated dynamic laximeters, where test results can be integrated into the patient data-management system
    of the radiology practice.
    The result of the LDA® test is immediately printed and joins the radiological examination in the file of the patient. Export in different formats is possible.

    The device GNRB Radio, designed for your cabinet

    Instant calculation of tibia displacement.
    Curves expressing ligament resistance.
    Instant calculation of slopes.
    Table with registered measures.
    Archiving in patient data-file.
    Results exportable as xls.files.
    Print in pdf.format.
    Export in RIS-PACS.